ممکن است در هنگام مسواک زدن دندان ها متوجه خونریزی لثه شوید بهتر است با بی توجهی از آن نگذرید. دکتر آرش غفوری متخصص باتجربه و موفق ایمپلنت دندان و جراحی لثه در رشت توصیه می کند که در صورت مشاهده خونریزی لثه آن را جدی بگیرید و به دنبال راه حل مناسب آن باشید تا از خطرات و بیماری های پیشرفته جلوگیری کنید. گاهی وقتها ممکن است خونریزی لثه به دلیل زبر بودن برس مسواک جدیدی که استفاده می کنید باشد مسواکتان را عوض کنید و از مسواک نرم تر استفاده کنید تا علت خونریزی مشخص شود.
به دلیل اهمیت و جدی بودن این نوع از خون ریزی، تیم تخصصی ما در مرکز کاشت ایمپلنت دندان و جراحی لثه دکتر آرش غفوری لازم دانستیم که این مطلب را به توضیح علت و روش های درمان این عارضه دندانپزشکی برای کاربران عزیرمان اختصاص دهیم. در ادامه این مطلب همراه ما باشید.
در ابتدا بهتر است با مفهوم خونریزی لثه و ارتباط آن با بیماری های دیگر آشنا شوید.
خونریزی لثه چیست؟
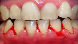
خونریزی لثه یکی از رایج ترین و مشخص ترین علائم بیماری پریودنتال (بیماری لثه) است اما می تواند یکی از علائم سایر مشکلات سلامتی بدن نیز باشد. در بعضی موارد لثه هرچند وقت یکبار دچار خونریزی می شود که می تواند ناشی از مسواک زدن با فشار زیاد و برس زبر باشد و یا استفاده از پروتزهای دندانی باشد که به درستی در جای خود قرار نگرفته اند. اما اگر به صورت مکرر دچار خونریزی شوید می تواند نشان دهنده مشکلات و وضعیت جدی تری باشد مثل موارد زیر:
- پریودنتیت (بیماری لثه ی پیشرفته)
- لوسمی (سرطان خون)
- کمبود ویتامین ها
- کمبود پلاکت خون
هرکدام از این موارد و بیماری ها می توانند علت اصلی خونریزی باشند که به تفصیل به توضیح آنها می پردازیم.
التهاب لثه (ژنژیویت)
همانطور که می دانید پلاک ها لایه های چسبنده زرد رنگ هستند که از تجمع باکتری ها سطح و بین دندان تشکیل می شوند. اگر این پلاک ها به مدت طولانی پاک نشوند و روی خط لثه و بین دندان ها بمانند در بیشتر موارد التهاب لثه را به همراه دارند.
یکی از مواردی که اغلب متخصصین دندانپزشکی از جمله دکتر آرش غفوری توصیه جدی دارند مسواک زدن به روش درست و اصولی می باشد. مسواک پلاک ها را از بین می برد و از ایجاد پوسیدگی دندان جلوگیری می کند. اما اگر روش مسواک زدنتان درست نباشد و از نخ دندان استفاده نکنید، ممکن است پلاک روی خط لثه باقی بماند. پلاک ها در صورت ماندگاری طولانی سفت می شوند و به جرم تبدیل می شوند که منجربه افزایش خونریزی و التهاب لثه می شوند.
شاید برایتان جالب باشد که برای پیشگیری از خونریزی شدید لثه علائم التهاب لثه را بشناسید:
- لثه های متورم
- احساس درد در دهان و اطراف لثه های متورم
- خونریزی مکرر لثه
پریودنتیت
بیماری پریودنتال پیشرفته که به آن پریودنتیت گفته می شود زمانی اتفاق میوفتد که التهاب لثه پیشرفته کرده باشد. بیماری پریودنتال زمانی است که عفونت شدید، لثه، استخوان فک و بافت های پشتیبان را که دندان ها و لثه ها را به هم متصل می کنند درگیر کرده است. بیماری پریودنتیت می تواند باعث لق شدن یا افتادن دندان ها شود.
کمبود ویتامین
کمبود ویتامین C و ویتامین K نیز می تواند باعث خونریزی لثه ها شوند. اگر خونریزی لثه دارید که ناشی از مراقبت نامناسب از دندان نیست، از طریق آزمایش سطح ویتامین C و K خود را بررسی کنید. همچنین، بهتر است در رژیم غذایی خود غذاهای حاوی هر دو ویتامین را مصرف کنید تا ویتامین های مورد نیاز برای سلامتی را دریافت کنید. غذاهای حاوی ویتامین C عبارتند از:
- مرکبات و آب میوه ها
- کلم بروکلی
- توت فرنگی
- گوجه فرنگی
- سیب زمینی
- فلفل دلمه ای
غذاهای غنی از ویتامین K عبارتند از:
- شاهی
- کلم پیچ
- اسفناج
- چغندر
- کاهو
- سبزی خردل
- سویا
- روغن کانولا
- روغن زیتون
مواردی دیگری وجود دارد که می تواند علت ایجاد خونریزی شود در ادامه به بررسی آنها می پردازیم:
- افرادی که برای جایگزینی دندان های از دسته رفته خود از پروتزها (دندان مصنوعی) استفاده می کنند ممکن است در بعضی موارد دچار خونریزی لثه شوند. در صورتی که پروتزها در جای مناسب خود قرار نگیرند احتمال خونریزی لثه بیشتر می شود. اگر دندان مصنوعی یا بریس های ارتودنسی باعث خونریزی لثه شما می شود باید در اسرع وقت با دندانپزشک یا ارتودنتیست خود صحبت کنید. ممکن است برای درست قرار گرفتن نیاز به تنظیم جدید داشته باشند.
- تعداد کمی از زنان در هنگام خونریزی قاعدگی، دچار خونریزی لثه در هنگام مسواک زدن می شوند. معمولا زنان باردار دچار خونریزی لثه می شوند. علت خونریزی در این مواقع تغییرات هورمونی می باشد که می تواند باعث حساس شدن لثه ها شود.
- اختلالات خونی در بدن مانند هموفیلی و لوسمی می تواند خطر خونریزی لثه را افزایش دهد. استفاده از داروهای رقیق کننده خون، ممکن است باعث افزایش خونریزی لثه شوند. داروهایی مثل وارفارین، آسپرین و هپارین رقیق کننده خون هستند.
- بیماری دیابت می تواند باعث ایجاد زخم های کوچکی در دهان و لثه شوند و به مرور زمان این زخم ها به عامل اصلی عفونت تبدیل گردند. گاهی وقتها بیمار دیابتی به دلیل شرایط حساس بهداشت دهان و دندان، در هنگام مسواک زدن شاهد خونریزی دندان های خود خواهد بود.
روش های درمان خونریزی لثه به چه شکل است؟
اولین قدم برای کنترل خونریزی لثه رعایت بهداشت اصولی و مناسب دهان و دندان و همچنین پاکسازی حرفه ای نزد دندانپزشک است. دندانپزشک در معاینات روتین سالانه التهاب لثه یا سایر علائم موجود را تشخیص می دهد و نحوه صحیح مسواک زدن دندان ها را به شما آموزش می دهد. مسواک زدن و استفاده از نخ دندان می تواند پلاک ها را از خط لثه پاک کند و خطر ابتلا به بیماری پریودنتال را کاهش دهد. همچنین دندانپزشک نحوه استفاده درست از دهانشویه ضد عفونی کننده را برای به حداقل رساندن ایجاد پلاک در بین دندان ها آموزش می دهد.
یکی دیگر از روش های درمانی و جلوگیری از افزایش خونریزی لثه های ملتهب شستشوی دهان و قرقره کردن آب نمک می باشد. همچنین استفاده از مسواک با برس نرم می تواند برای لثه های ملتهب خیلی مناسب تر از مسواک های متوسط و سخت باشد. استفاده از مسواک های برقی و سر مسواک های مخصوص خیلی بیشتر از مسواک های دستی در تمیز کردن خط لثه به شما کمک می کنند.
اگر شما فردی هستید که اخیرا دچار خونریزی لثه شده اید بهتر است هر چه زودتر یک قرار ملاقات با متخصص یا جراح لثه یا دندانپزشک خود تعیین کنید تا علت اصلی خونریزی لثه جهت تعیین درمان مناسب مشخص شود. معمولا متخصصین جراحی لثه با معاینه فیزیکی و آزمایش خون علت اصلی این مشکل را تشخیص می دهند.
شما می توانید با مراجعه به مرکز تخصصی ایمپلنت دندان و جراحی لثه دکتر آرش غفوری علاوه بر دریافت خدمات ایمپلنت دندان روش های درمانی مناسب مشکلات و بیماری های لثه خود را بعد از معاینه و بررسی کامل دهان و دندان به بهترین شکل ممکن دریافت کنید.
بیشتر بخوانید:
